Click here to close
Hello! We notice that you are using Internet Explorer, which is not supported by Xenbase and may cause the site to display incorrectly.
We suggest using a current version of Chrome,
FireFox, or Safari.
J Cell Biol
1998 Aug 10;1423:803-13. doi: 10.1083/jcb.142.3.803.
Show Gene links
Show Anatomy links
Regulation of organelle movement in melanophores by protein kinase A (PKA), protein kinase C (PKC), and protein phosphatase 2A (PP2A).
Reilein AR
,
Tint IS
,
Peunova NI
,
Enikolopov GN
,
Gelfand VI
.
???displayArticle.abstract???
We used melanophores, cells specialized for regulated organelle transport, to study signaling pathways involved in the regulation of transport. We transfected immortalized Xenopus melanophores with plasmids encoding epitope-tagged inhibitors of protein phosphatases and protein kinases or control plasmids encoding inactive analogues of these inhibitors. Expression of a recombinant inhibitor of protein kinase A (PKA) results in spontaneous pigment aggregation. alpha-Melanocyte-stimulating hormone (MSH), a stimulus which increases intracellular cAMP, cannot disperse pigment in these cells. However, melanosomes in these cells can be partially dispersed by PMA, an activator of protein kinase C (PKC). When a recombinant inhibitor of PKC is expressed in melanophores, PMA-induced pigment dispersion is inhibited, but not dispersion induced by MSH. We conclude that PKA and PKC activate two different pathways for melanosome dispersion. When melanophores express the small t antigen of SV-40 virus, a specific inhibitor of protein phosphatase 2A (PP2A), aggregation is completely prevented. Conversely, overexpression of PP2A inhibits pigment dispersion by MSH. Inhibitors of protein phosphatase 1 and protein phosphatase 2B (PP2B) do not affect pigment movement. Therefore, melanosome aggregation is mediated by PP2A.
Figure 1. Inhibition of PP2A by the small t antigen blocks melanosome aggregation. (A) Melanophores transfected with plasmids encoding the small t antigen or GFP were treated with 10 nM melatonin for 90 min and fixed with formaldehyde. Cells expressing the small t antigen were identified by immunofluorescent staining with an antibody against the SV-40 small t antigen. The vertical axis shows the percentage of cells that were scored as aggregated (white), partially dispersed (grey), or dispersed (black). Scoring was done as described in Materials and Methods. Note the almost complete inhibition of pigment aggregation in the small t-expressing cells. The data are from over 400 small t-expressing and over 500 GFP-expressing cells from three separate experiments. (B) A cell expressing small t maintained its pigment in a dispersed state after melatonin treatment (left), whereas a GFP control cell aggregated pigment normally (right). The cells are shown by overlaying bright-field images onto fluorescent images. Bar, 20 μm.
Figure 2. Overexpression of PP2A inhibits melanosome dispersion at low levels of cAMP. Cells transfected with plasmids encoding the HA-tagged PP2A catalytic subunit or GFP were treated with 25 μM dexamethasone for 24 h to induce PP2A expression. Cells were then treated with 10 nM melatonin for 1 h to aggregate pigment, followed by 1 nM or 10 nM MSH for 30 min. PP2A-expressing cells were identified by immunofluorescent staining with an antibody to HA, and 100 cells were scored per treatment. The data is from a typical experiment; similar results were obtained in three independent experiments.
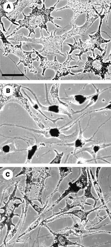
Figure 3. Phase-contrast images of nontransfected cells (A), and cells transfected with the PKA inhibitor plasmid (B), or with the plasmid encoding the inactive analogue of the inhibitor (C). After 72 h, a large percentage of cells in the culture expressing the active inhibitor had fully aggregated pigment. Control cells maintained their melanosomes in the dispersed state. Bar, 50 μm.
Figure 4. Quantitative analysis of the effects of the active and inactive PKA and PKC inhibitor peptides on melanosome aggregation and dispersion. Cells expressing the PKA inhibitor aggregated their pigment and could not disperse it when treated with MSH. These cells partially dispersed melanosomes in response to PMA. Cells expressing the inactive PKA inhibitor dispersed melanosomes normally in response to MSH and PMA. Cells expressing the PKC inhibitor dispersed pigment when treated with MSH, but were inhibited from dispersing pigment after aggregation with melatonin and treatment with PMA. Percentages are from scoring 200 cells per treatment. Similar results were obtained in at least three other independent experiments with each inhibitor.
Figure 7. Immunoprecipitations of kinesin II and cytoplasmic dynein from 32Pi- labeled melanophore extract. Left lane, cell extract. Immunoprecipitates of dynein from melatonin-treated and MSH-treated cells show strong phosphorylation at the molecular weights of the dynein intermediate chain (83 kD) and the dynein heavy chain, and at an unidentified band at 200 kD (arrowheads). Immunoprecipitates of kinesin II from melatonin-treated and MSH-treated cells have phosphorylation in a broad band at 95 kD (bracket). No consistent phosphorylation differences have been observed in immunoprecipitations of dynein or kinesin II.
Figure 6. Phosphorylation of melanosome proteins in cells treated with 10 nM melatonin, 100 nM MSH, 0.1 μM PMA, or 1 mM IBMX. Phosphorylation differences were reproduced in three separate experiments. (A) Cells were labeled with 32Pi for 21 h before melanosome purification. The differences in phosphorylation are found in the 85–95 kD area. Melanosomal proteins from melatonin-treated cells show phosphorylation at ∼86, 92, and 95 kD (arrows), whereas proteins from MSH- and IBMX-treated cells are phosphorylated at 87 and 94 kD. Proteins from untreated and PMA-treated cells show phosphorylation in a broad band from 88–95 kD. (B) Western blot of melanosomal proteins with the anti-phosphothreonine antibody. The pattern of threonine phosphorylation looks very similar in the mol wt range 85–95 kD to the pattern of total phosphorylation in A. There is less phosphorylation on melanosomes purified from cells treated with IMBX and MSH than on melanosomes purified from cells treated with melatonin, whereas it appears that untreated and PMA-treated cells are in a phosphorylation state intermediate between that of aggregating and dispersing cells. In addition, phosphorylation of the band at 50 kD is reduced with melatonin treatment.
Alberts,
Expression of a peptide inhibitor of protein phosphatase 1 increases phosphorylation and activity of CREB in NIH 3T3 fibroblasts.
1994, Pubmed
Alberts,
Expression of a peptide inhibitor of protein phosphatase 1 increases phosphorylation and activity of CREB in NIH 3T3 fibroblasts.
1994,
Pubmed
Allan,
Protein phosphatase 1 regulates the cytoplasmic dynein-driven formation of endoplasmic reticulum networks in vitro.
1995,
Pubmed
,
Xenbase
Alphey,
KLP38B: a mitotic kinesin-related protein that binds PP1.
1997,
Pubmed
Blangy,
Phosphorylation by p34cdc2 regulates spindle association of human Eg5, a kinesin-related motor essential for bipolar spindle formation in vivo.
1995,
Pubmed
,
Xenbase
Clark,
Pigment particle translocation in detergent-permeabilized melanophores of Fundulus heteroclitus.
1982,
Pubmed
Cole,
Novel heterotrimeric kinesin-related protein purified from sea urchin eggs.
1993,
Pubmed
,
Xenbase
Cozzi,
The protein-phosphatase inhibitor okadaic acid mimics MSH-induced and melatonin-reversible melanosome dispersion in Xenopus laevis melanophores.
1992,
Pubmed
,
Xenbase
Daniolos,
Action of light on frog pigment cells in culture.
1990,
Pubmed
,
Xenbase
Dillman,
Differential phosphorylation in vivo of cytoplasmic dynein associated with anterogradely moving organelles.
1994,
Pubmed
Enan,
Specific inhibition of calcineurin by type II synthetic pyrethroid insecticides.
1992,
Pubmed
Euteneuer,
Polarity of some motility-related microtubules.
1981,
Pubmed
Field,
Purification of a RAS-responsive adenylyl cyclase complex from Saccharomyces cerevisiae by use of an epitope addition method.
1988,
Pubmed
Graminski,
Pigment dispersion in frog melanophores can be induced by a phorbol ester or stimulation of a recombinant receptor that activates phospholipase C.
1993,
Pubmed
,
Xenbase
Grove,
Recombinant fragment of protein kinase inhibitor blocks cyclic AMP-dependent gene transcription.
1987,
Pubmed
Hagiwara,
Transcriptional attenuation following cAMP induction requires PP-1-mediated dephosphorylation of CREB.
1992,
Pubmed
Hashimoto,
Identification of an autoinhibitory domain in calcineurin.
1990,
Pubmed
House,
Protein kinase C contains a pseudosubstrate prototope in its regulatory domain.
1987,
Pubmed
Karki,
Casein kinase II binds to and phosphorylates cytoplasmic dynein.
1997,
Pubmed
Kemp,
Pseudosubstrate-based peptide inhibitors.
1991,
Pubmed
Kotz,
Intracellular calcium and cAMP regulate directional pigment movements in teleost erythrophores.
1994,
Pubmed
Laemmli,
Cleavage of structural proteins during the assembly of the head of bacteriophage T4.
1970,
Pubmed
Liu,
Calcineurin is a common target of cyclophilin-cyclosporin A and FKBP-FK506 complexes.
1991,
Pubmed
Malawista,
Cytochalasin B reversibly inhibits melanin granule movement in melanocytes.
1971,
Pubmed
McClintock,
Melanophore pigment dispersion responses to agonists show two patterns of sensitivity to inhibitors of cAMP-dependent protein kinase and protein kinase C.
1996,
Pubmed
,
Xenbase
McGuire,
Cytochalasin B: effects on microfilaments and movement of melanin granules within melanocytes.
1972,
Pubmed
McNiven,
Chromatophores--models for studying cytomatrix translocations.
1984,
Pubmed
Muresan,
KIF3C and KIF3A form a novel neuronal heteromeric kinesin that associates with membrane vesicles.
1998,
Pubmed
Murphy,
The role of microtubules in the movement of pigment granules in teleost melanophores.
1974,
Pubmed
Nagata,
The MAP kinase kinase kinase MLK2 co-localizes with activated JNK along microtubules and associates with kinesin superfamily motor KIF3.
1998,
Pubmed
Namboodiripad,
Permeability characteristics of erythrocyte membrane to okadaic acid and calyculin A.
1996,
Pubmed
Nilsson,
Evidence for several roles of dynein in pigment transport in melanophores.
1997,
Pubmed
Ogris,
Protein phosphatase 2A subunit assembly: the catalytic subunit carboxy terminus is important for binding cellular B subunit but not polyomavirus middle tumor antigen.
1997,
Pubmed
Palazzo,
cAMP-independent and cAMP-dependent protein phosphorylations by isolated goldfish xanthophore cytoskeletons: evidence for the association of cytoskeleton with a carotenoid droplet protein.
1989,
Pubmed
Potenza,
A rapid quantitative bioassay for evaluating the effects of ligands upon receptors that modulate cAMP levels in a melanophore cell line.
1992,
Pubmed
,
Xenbase
Robbins,
Hedgehog elicits signal transduction by means of a large complex containing the kinesin-related protein costal2.
1997,
Pubmed
Rodionov,
The movement of melanosomes in melanophore fragments obtained by laser microbeam irradiation.
1987,
Pubmed
Rodionov,
Functional coordination of microtubule-based and actin-based motility in melanophores.
1998,
Pubmed
Rogers,
Regulated bidirectional motility of melanophore pigment granules along microtubules in vitro.
1997,
Pubmed
,
Xenbase
Rogers,
Myosin cooperates with microtubule motors during organelle transport in melanophores.
1998,
Pubmed
,
Xenbase
Rogers,
In vitro motility assay for melanophore pigment organelles.
1998,
Pubmed
,
Xenbase
Rozdzial,
Bidirectional pigment granule movements of melanophores are regulated by protein phosphorylation and dephosphorylation.
1986,
Pubmed
Sammak,
Intracellular cyclic AMP not calcium, determines the direction of vesicle movement in melanophores: direct measurement by fluorescence ratio imaging.
1992,
Pubmed
Smith,
Functional determinants in the autoinhibitory domain of calcium/calmodulin-dependent protein kinase II. Role of His282 and multiple basic residues.
1992,
Pubmed
Smith,
Specificities of autoinhibitory domain peptides for four protein kinases. Implications for intact cell studies of protein kinase function.
1990,
Pubmed
Soderling,
Protein kinases. Regulation by autoinhibitory domains.
1990,
Pubmed
Sontag,
The interaction of SV40 small tumor antigen with protein phosphatase 2A stimulates the map kinase pathway and induces cell proliferation.
1993,
Pubmed
Sontag,
A novel pool of protein phosphatase 2A is associated with microtubules and is regulated during the cell cycle.
1995,
Pubmed
Sugden,
Protein kinase C activation antagonizes melatonin-induced pigment aggregation in Xenopus laevis melanophores.
1992,
Pubmed
,
Xenbase
Thaler,
Regulation of organelle transport in melanophores by calcineurin.
1990,
Pubmed
Tournebize,
Distinct roles of PP1 and PP2A-like phosphatases in control of microtubule dynamics during mitosis.
1997,
Pubmed
,
Xenbase
Towbin,
Electrophoretic transfer of proteins from polyacrylamide gels to nitrocellulose sheets: procedure and some applications.
1979,
Pubmed
Turowski,
Differential methylation and altered conformation of cytoplasmic and nuclear forms of protein phosphatase 2A during cell cycle progression.
1995,
Pubmed
Van Patten,
Molecular cloning of a rat testis form of the inhibitor protein of cAMP-dependent protein kinase.
1991,
Pubmed
Waldmann,
Multifunctional Ca2+/calmodulin-dependent protein kinase made Ca2+ independent for functional studies.
1990,
Pubmed
,
Xenbase
Walsh,
Utilization of the inhibitor protein of adenosine cyclic monophosphate-dependent protein kinase, and peptides derived from it, as tools to study adenosine cyclic monophosphate-mediated cellular processes.
1991,
Pubmed
White,
Pertussis toxin blocks melatonin-induced pigment aggregation in Xenopus dermal melanophores.
1987,
Pubmed
,
Xenbase
Yang,
Control of protein phosphatase 2A by simian virus 40 small-t antigen.
1991,
Pubmed