|
Fig. 1. Characterization of the Lrig3 gene. (A) Regional expression of Lrig3 in stage 10 embryos. Lrig3 was expressed strongly in dorsal explants, but barely detected in other regions. The indicated genes were assayed to test quality of dissection. St10, stage 10 embryo; AC, animal cap; Veg, vegetal explant; RT-, control without reverse transcriptase. (B) Schematic drawing of the protein structure of Xenopus and zebrafish Lrig3. SP (yellow), signal peptide; LRRNT (blue box), leucine-rich repeat N-terminal domain; LRR TYP, leucine-rich repeats, typical; LRR, leucine-rich repeats; LRRCT (blue oval), leucine rich repeat C-terminal domain; IG C2 (green oval), immunoglobulin C-2 Type; TM (purple), transmembrane domain. Sequence identity between zebrafish and Xenopus Lrig3 is indicated. (C) Dendrogram of the Lrig3 family including Kekkon of Drosophila. (D,E) Subcellular distribution of Lrig3 after transfection into COS7 cells. (D) Transfected Lrig3-Flag (red) co-localized with the cis Golgi apparatus marker GM130 (green); the nucleus was stained with DAPI (blue). (E) A small proportion of Lrig3-Flag co-localized with the early endosome marker EEA1 (green). (F-M) Expression pattern of Lrig3 in Xenopus. Vegetal view at stage 10, expression in the organizer (F); stage 10 section (G). (H,I) Stage 12 (H, posterior view; I, lateral view). (J,K) Stage 15 (J, dorsal view; K, lateral view). Tailbud (stage 24, L) and tadpole (stage 32, M); expression is seen in brain, eye, somites and branchial arches. (N) Temporal expression of Lrig3 during Xenopus development. (O-R) Expression of lrig3 in zebrafish. Transcripts are present maternally (O), become localized in the forming organizer at 30% epibody (P) and subsequently in the shield (Q), and were found in brain, eye and branchial arches at 24 hours (R). (P-R) Lateral views.
|
|
Fig. 3. Knockdown of Lrig3 results in defects of the NC and its derivatives. (A-Fâ²) In situ hybridization with the indicated markers for uninjected or two examples (â²,â²) of L3MO-injected embryos. One dorsal blastomere at the four-cell stage was injected with 15 ng L3MO and 100 pg lacZ mRNA, and fixed at about stage 19. The expression of hindbrain marker Krox20 (rhombomeres 3 and 5) (A-Aâ²), NC markers Slug (B-Bâ²), Sox9 (C-Câ²), Myc (D-Dâ²) and Inca (E-Eâ²), and pan-neural marker Sox2 (F-Fâ²) were examined. The injected side was traced by lacZ staining. The stream of Krox20-positive cells extending from the hindbrain was absent in 97% (28 of 29 embryos) on the injected side. The expression of NC markers was reduced on the injected side in the following percentage of embryos: Slug (58%, 14 of 24), Sox9 (79%, 15 of 19), Myc (83%, 20 of 24) and Inca (65%, 17 of 26). (G) Neural induction by overexpression of Chordin (Chd) in animal caps was barely affected by L3MO. Chd (100 pg) or Chd (100 pg) plus L3MO (30 ng) were injected, caps dissected at stage 9, and assayed at equivalent stage 22. Pan neural markers Sox2 and Ncam were examined, and interference with Lrig3 splicing was verified (see also Fig. 2A); arrow indicates the predicted unspliced band (lane 4). (H-Jâ²) NC markers, including Slug, Inca and Sox9, were examined in embryos injected with 7.5 ng L3MO in one animal dorsal blastomere at the eight-cell stage. Strong inhibition was observed for Slug (95%, 18 of 19), Inca (89%, 24 of 27) and Sox9 (73%, 19 of 26). (K-M) Cranial cartilages were reduced by knockdown of Lrig3. Ventral views of Alcian Blue stained cartilage from embryos injected with control morpholino (K) or L3MO (L,M). ba, basihyal; br, branchial; ch, ceratohyal; m, Meckel's. Percentages of embryos with reduced head cartilage are 82% (38 of 47) at 7.5 ng L3MO and 97% (31 of 32) at 15 ng L3MO. (N-P) Rescue of L3MO effect. All embryos were injected with 15 ng L3MO, and embryos in N-Oâ² were co-injected with 20 pg Lrig3 mRNA; in situ hybridization with Inca (N-Nâ²) and Slug (O-Oâ²). Percentages of strongly affected (examples in N,O), mildly affected (Nâ²,Oâ²) and normal (Nâ²,Oâ²) are shown in P.
|
|
Fig. 2. Suppression of Lrig3 by a splicing morpholino disturbed embryonic development. (A) RT-PCR shows that injection of L3MO decreased the mature Lrig3 mRNA while inducing the predicted â¼1 kb unspliced band, using intron-spanning primers for pseudoalleles Lrig3A and Lrig3B. ODC was loading control. (B-D) Phenotypes induced by L3MO. The morphants showed severe anterior defects, delayed or failed neural fold closure, and shortened axis. (C,D) Embryos were injected with 30 ng L3MO; uninjected control in B. (E-G) The phenotype was rescued by co-injection of Lrig3 mRNA. (E) Uninjected control; (F) L3MO (30 ng); (G) 30 ng of L3MO plus 20 pg Lrig3 mRNA.
|
|
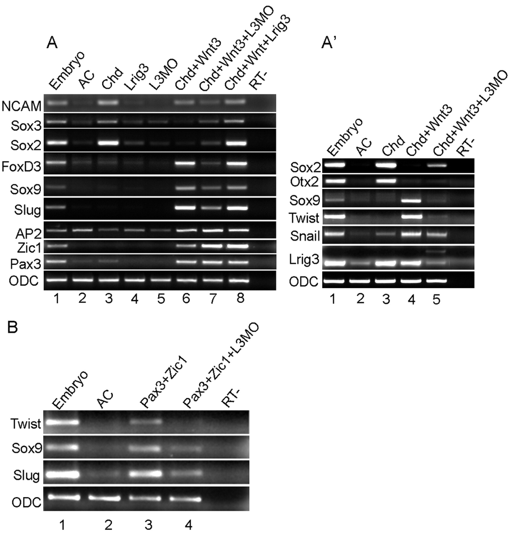
Fig. 4. Lrig3 is required for NC formation in animal caps downstream of Pax3 and Zic1. (A,Aâ²) L3MO inhibits NC marker induction by Chordin (Chd) plus Wnt3a in animal caps. Embryos were injected with 300 pg Chd, 1 ng Lrig3, 30 ng L3MO, 300 pg Chd + 300 pg Wnt3a, 300 pg Chd + 300 pg Wnt3a + 30 ng L3MO, or with 300 pg Wnt3a + 300 pg Chd +1 ng Lrig3. Gene expression was assayed by RT-PCR. (B) NC induced by co-injection of Pax3 and Zic1 was inhibited by L3MO. Pax3 (200 pg) and Zic1 (200 pg) each, alone or with 30 ng L3MO were injected, and assayed as in A. AC, uninjected animal caps. RT-, without reverse transcriptase.
|
|
Fig. 5. Lrig3 is involved in NC formation by modulating Wnt and Fgf signaling. (A) Lrig3 slightly enhanced Xnr3 and Siamois induction by Wnt3a. Animal cap assay at stage 10, embryos injected with 300 pg Wnt3a or 300 pg Wnt3a + 1 ng Lrig3. (B) NC markers were moderately induced by the combination of Lrig3 and Wnt3a. Embryos were injected with Lrig3 (1 ng), Wnt3a (300 pg), Wnt3a and Lrig3, Chd (300 pg), Chd and Lrig3, and Chd, Wnt3a and Lrig3, and animal caps were assayed at equivalent stage 16. (C) Lrig3 enhanced the induction of Fgf3, Fgf4 and Fgf8 by Wnt3a. RNAs were injected at the concentrations listed in B, and animal caps were assayed at stages indicated.
|
|
Fig. 6. Lrig3 attenuates Fgf signaling. (A) Lrig3 inhibited ERK phosphorylation. Embryos were injected with active Ras (HaRas, 100 pg), eFgf (1 pg), Lrig3 (1 ng), zebrafish sef (500 pg) or mkp3 (500 pg). Animal caps were treated with bFgf (20 ng/ml) for 3 hours as indicated. Cell lysates were analyzed for diphosphorylated (dp)-ERK and total (pan)-ERK. AC, untreated. (B) Overexpression of Lrig3 inhibits Xbra induction by bFgf. Animal caps were treated with bFgf (50 ng/ml) for 4 hours. Xbra expression was induced by bFgf treatment in uninjected (lane 4), but not in Lrig3 (1 ng) injected caps (lane 5). (C) Lrig3 did not attenuate Xbra expression induced by activin (250 pM). Injection of Smad7 (500 pg), but not of Lrig3 (1 ng), inhibited Xbra induction. (D) Lrig3 inhibits Fgf8 activity in animal caps. Embryos were injected with the indicated dose of Fgf8a alone or with 1 ng of Lrig3. Expression of Xbra, Xwnt8 and Xmsx1 was examined at equivalent stage 11.5. (E) Differential effect of Lrig3 on Slug and Twist induction by different doses of Fgf8a. Fgf8a at increasing doses, as indicated, was injected alone or with a constant amount (1 ng) of Lrig3, and induction of Slug and Twist was assayed at equivalent stage 22.
|
|
Fig. 7. Lrig3-Xfgfr1 interactions. (A) The domain structure of wild-type Lrig3 and its deletion mutants; all constructs were tagged with Myc. LRRNT (blue box), leucine-rich repeat N-terminal domain; LRR TYP, leucine-rich repeats, typical; LRRCT (blue oval), leucine-rich repeat C-terminal domain; IG C2 (green oval), immunoglobulin C-2 Type; SP (yellow), signal peptide;. TM (purple), transmembrane domain. (B) Lrig3 binds to Xfgfr1 through its ectodomains. Co-immunoprecipitation was carried out in extracts of 293T cells co-transfected with Xfgfr1 and wild type or mutants of Lrig3 using anti-Xfgfr1 antibody, and blotted with anti-Myc antibody. (C) Lrig3 decreases Xfgfr1 levels. 293T cells were co-transfected with Xfgfr1 and Lrig3 or GFP, which was used to adjust the amount of DNA. Xfgfr1 and endogenous diphospho-ERK and Pan-ERK were detected by western blotting. Actin was employed as a loading control. IP, immunoprecipitate; WCL, whole cell lysate; WB, western blot.
|
|
lrig3 (leucine-rich repeats and immunoglobulin-like domains 3) gene expression in bisected Xenopus laevis embryo, mid-sagittal section, assayed via in situ hybridization, NF stage 10.5, dorsal left, animal pole up.
|
|
lrig3 (leucine-rich repeats and immunoglobulin-like domains 3) gene expression in Xenopus laevis embryo, assayed via in situ hybridization, NF stage 25, lateral view, anterior left, dorsal up.
|
|
lrig3 (leucine-rich repeats and immunoglobulin-like domains 3) gene expression in Xenopus laevis embryo, assayed via in situ hybridization, NF stage 28, lateral view, anterior left, dorsal up.
|
|
Fig. S3. Depletion of Lrig3 by L3MO inhibited NC formation. Embryos were injected with 15 ng L3MO into one dorsal blastomere at the four-cell stage. The expression of the retinal marker Rx2A (A-Aâ²â²) and the NC markers Ap2a (B-Bâ²â²), Traf4 (C-Câ²â²) and Twist (D-Dâ²â²) was examined at the late neurula stage; the injection side was visualized by lacZ staining. Rx2a was modestly decreased on the injected side (48%, 13 of 27 embryos). Traf4 (80%, 16 of 20), Twist (83%, 25 of 30), and Ap2a (80%, 16 of 20) were strongly inhibited.
|
|
Fig. S4. Mesoderm formation was not substantially affected by L3MO. The mesoderm markers Xbra, Chordin, Goosecoid (Gsc), and Cerberus were examined by whole-mount in situ hybridization at stage 11 in embryos injected dorsally at the four-cell stage with 30 ng L3MO.
|
|
Fig. S5. Injection of L3MO inhibited trigerminal nerve formation. One dorsal blastomere of 4-cell stage embryos was injected with either control MO (A,C) or L3MO (B,D), and allowed to develop to stage 35. Two branches of the trigeminal nerve, the ophthalmic and mandibular, were visualized by whole-mount in situ hybridization with Synuclein γ. The expression of Synuclein γ was reduced on the Lrig3-depleted side (77%, 20 of 26 embryos), while embryos injected with control MO showed normal expression (92%, 12 of 13).
|
|
Fig. S7. Interaction between Xfgfr1 and Lrig3 were examined by co-immunopriciptation (IP). HEK293T cells were co-transfected with Xfgfr1 and Lrig3-Flag, lysed and immunopriciptated with anti-Flag antibody (M2), anti-XFGFR1 antibody or mouse IgG. Xfgfr1 was detected after IP with anti-Flag (left gel), while Lrig3-Flag was detected after IP with anti-Xfgfr1 (right gel). WCL, whole cell lysate.
|