XB-ART-57519
Nat Commun
2020 Nov 04;111:5570. doi: 10.1038/s41467-020-19373-w.
Show Gene links
Show Anatomy links
R-spondins are BMP receptor antagonists in Xenopus early embryonic development.
???displayArticle.abstract???
BMP signaling plays key roles in development, stem cells, adult tissue homeostasis, and disease. How BMP receptors are extracellularly modulated and in which physiological context, is therefore of prime importance. R-spondins (RSPOs) are a small family of secreted proteins that co-activate WNT signaling and function as potent stem cell effectors and oncogenes. Evidence is mounting that RSPOs act WNT-independently but how and in which physiological processes remains enigmatic. Here we show that RSPO2 and RSPO3 also act as BMP antagonists. RSPO2 is a high affinity ligand for the type I BMP receptor BMPR1A/ALK3, and it engages ZNRF3 to trigger internalization and degradation of BMPR1A. In early Xenopus embryos, Rspo2 is a negative feedback inhibitor in the BMP4 synexpression group and regulates dorsoventral axis formation. We conclude that R-spondins are bifunctional ligands, which activate WNT- and inhibit BMP signaling via ZNRF3, with implications for development and cancer.
???displayArticle.pubmedLink??? 33149137
???displayArticle.pmcLink??? PMC7642414
???displayArticle.link??? Nat Commun
Species referenced: Xenopus tropicalis Xenopus laevis
Genes referenced: acvr1 bmp4 bmpr1a bmpr1b chrd crisp1.3 dsp foxg1 furin lgr4 lrp6 myod1 nppa rspo2 smad1 szl tf ventx1.2 wnt3a znrf3
GO keywords: dorsal/ventral axis specification [+]
???displayArticle.morpholinos??? bmp4 MO1 chrd.1 MO1 chrd.1 MO2 lrp6 MO1 rspo2 MO2 rspo2 MO3 znrf3 MO2
???displayArticle.disOnts??? cancer
Phenotypes: Xla Wt + bmp4 (Fig. 2 a b) [+]
Xla Wt + bmp4
(Fig. S 4 g h)
Xla Wt + bmp4 + animal cap explant (Fig. 3 c)
Xla Wt + bmp4 + animal cap explant (Fig. 3 d e )
Xla Wt + bmp4 + CHX + animal cap explant (Fig. 3 c)
Xla Wt + bmp4 + CHX + animal cap explant (Fig. 3 d e )
Xla Wt + bmp4 MO (Fig. 2 e f)
Xla Wt + bmp4 MO (Fig. 2 e f)
Xla Wt + bmp4 MO (Fig. S 2 a b)
Xla Wt + bmp4 + rspo2 + animal cap explant (Fig. 6 c-e)
Xla Wt + bmpr1a + rspo2 (Fig. 6 b)
Xla Wt + bmpr1a + rspo2 MO + ventro-lateral marginal zone explant (Fig. 6 f-h)
Xla Wt + bmpr1a + rspo2 MO + ventro-lateral marginal zone explant (Fig. 6 f-h)
Xla Wt + chrd.1 MO (Fig. 5 d e)
Xla Wt + chrd.1 MO (Fig. 5 f g)
Xla Wt + chrd.1 MO (Fig. S 6 c d)
Xla Wt + DN-bmpr1a (Fig. S 6 c d )
Xla Wt + rspo2 (Fig. S 2 c)
Xla Wt + rspo2 MO (Fig. 5 d e)
Xla Wt + rspo2 MO (Fig. 5 f g)
Xla Wt + rspo2 MO (Fig. 6 i)
Xla Wt + rspo2 MO (Fig. 6 i)
Xla Wt + rspo2 MO (Fig. S 6 a b)
Xla Wt + rspo2 MO (Fig. S 6 c d)
Xla Wt + znrf3 MO (Fig. S 7 d e )
Xtr Wt + bmp4 (Fig. 2 g h)
Xtr Wt + bmp4 (Fig. S 4 c d e f)
Xtr Wt + chrd.1 CRISPR (Fig. 2 g h)
Xtr Wt + chrd.1 CRISPR (Fig. S 2 c d)
Xtr Wt + chrd.1 CRISPR (Fig. S 3 f g)
Xtr Wt + lrp6 MO (Fig. 2 g h)
Xtr Wt + nog CRISPR (Fig. S 3 h i)
Xtr Wt + nog CRISPR (Fig. S 4 e f)
Xtr Wt + nog CRISPR + rspo2 CRISPR (Fig. S 4 a b)
Xtr Wt + nog CRISPR + rspo2 CRISPR (Fig. S 4 e f)
Xtr Wt + rspo2 CRISPR (Fig. 2 g h)
Xtr Wt + rspo2 CRISPR (Fig. S 4 c d e f)
Xtr Wt + rspo2 CRISPR + chrd.1 CRISPR (Fig. 2 g h)
Xtr Wt + rspo2 CRISPR + chrd.1 CRISPR (Fig. S 4 c d)
Xla Wt + bmp4 + animal cap explant (Fig. 3 c)
Xla Wt + bmp4 + animal cap explant (Fig. 3 d e )
Xla Wt + bmp4 + CHX + animal cap explant (Fig. 3 c)
Xla Wt + bmp4 + CHX + animal cap explant (Fig. 3 d e )
Xla Wt + bmp4 MO (Fig. 2 e f)
Xla Wt + bmp4 MO (Fig. 2 e f)
Xla Wt + bmp4 MO (Fig. S 2 a b)
Xla Wt + bmp4 + rspo2 + animal cap explant (Fig. 6 c-e)
Xla Wt + bmpr1a + rspo2 (Fig. 6 b)
Xla Wt + bmpr1a + rspo2 MO + ventro-lateral marginal zone explant (Fig. 6 f-h)
Xla Wt + bmpr1a + rspo2 MO + ventro-lateral marginal zone explant (Fig. 6 f-h)
Xla Wt + chrd.1 MO (Fig. 5 d e)
Xla Wt + chrd.1 MO (Fig. 5 f g)
Xla Wt + chrd.1 MO (Fig. S 6 c d)
Xla Wt + DN-bmpr1a (Fig. S 6 c d )
Xla Wt + rspo2 (Fig. S 2 c)
Xla Wt + rspo2 MO (Fig. 5 d e)
Xla Wt + rspo2 MO (Fig. 5 f g)
Xla Wt + rspo2 MO (Fig. 6 i)
Xla Wt + rspo2 MO (Fig. 6 i)
Xla Wt + rspo2 MO (Fig. S 6 a b)
Xla Wt + rspo2 MO (Fig. S 6 c d)
Xla Wt + znrf3 MO (Fig. S 7 d e )
Xtr Wt + bmp4 (Fig. 2 g h)
Xtr Wt + bmp4 (Fig. S 4 c d e f)
Xtr Wt + chrd.1 CRISPR (Fig. 2 g h)
Xtr Wt + chrd.1 CRISPR (Fig. S 2 c d)
Xtr Wt + chrd.1 CRISPR (Fig. S 3 f g)
Xtr Wt + lrp6 MO (Fig. 2 g h)
Xtr Wt + nog CRISPR (Fig. S 3 h i)
Xtr Wt + nog CRISPR (Fig. S 4 e f)
Xtr Wt + nog CRISPR + rspo2 CRISPR (Fig. S 4 a b)
Xtr Wt + nog CRISPR + rspo2 CRISPR (Fig. S 4 e f)
Xtr Wt + rspo2 CRISPR (Fig. 2 g h)
Xtr Wt + rspo2 CRISPR (Fig. S 4 c d e f)
Xtr Wt + rspo2 CRISPR + chrd.1 CRISPR (Fig. 2 g h)
Xtr Wt + rspo2 CRISPR + chrd.1 CRISPR (Fig. S 4 c d)
???attribute.lit??? ???displayArticles.show???
|
|
Fig. 1: RSPO2 and RSPO3 antagonize BMP4 signaling WNT independently. a, b BRE reporter assay in HEPG2 cells upon siControl (a) or siβ-catenin (b) transfection, with or without overnight BMP4 and RSPO1-4 treatment as indicated. nâ=â3 biologically independent samples. c, d Western blot analyses of phosphorylated Smad1 (pSmad1) and total Smad1 (tSmad1) in HEPG2 cells stimulated by BMP4, treated with or without increasing amount of RSPO2 (c) or RSPO3 (d) overnight. Cells were starved 3â6âh before the stimulation. Ratio, relative levels of pSmad1 normalized to tSmad1. Representative data from two independent experiments are shown. e qRT-PCR analysis of BMP target ID1 in HEPG2 cells upon BMP4, with or without overnightRSPO2 treatment. nâ=â3 experimentally independent samples. Data are displayed as meansâ±âSD. **Pâ<â0.01, ***Pâ<â0.001 from two-tailed unpaired t-test. f, g BRE reporter assay in HEPG2 cells upon siLRP5/6 and siLGR4/5 knockdowns, with or without overnight BMP4 and RSPO2 treatment as indicated. nâ=â3 biologically independent samples. h BRE reporter assay in HEPG2 cells stimulated overnight by BMP4 with or without increasing amount of WNT3A treatment. WNT3A activity was validated in Supplementary Fig. 1b. nâ=â3 biologically independent samples. i Domain structures of RSPO2 and deletion mutants used in j. sp, signal peptide; FU, furin domain; TSP1, thrombospondin domain 1. j BRE reporter assay in HEPG2 cells stimulated overnight with BMP4, and with or without RSPO2 WT or FU1/2 or TSP1 deletion mutants, respectively. nâ=â3 biologically independent samples. Data for reporter assays (a, b, fâh, j) are displayed as meansâ±âSD, and show a representative of multiple independent experiments. ns, not significant; *Pâ<â0.05, **Pâ<â0.01, ***Pâ<â0.001, and ****Pâ<â0.0001 from two-tailed unpaired t-test (a, b, f, g, j) or one-way ANOVA with Dunnett test (h). k, l Western blot analyses of phosphorylated Smad1 (pSmad1) and total Smad1 (tSmad1) in H1581 cells upon siRNA transfection as indicated, with 0âh, 1âh, and 2âh of BMP4 stimulation. Ratio, relative levels of pSmad1 normalized to tSmad1. Representative data from two independent experiments are shown. |
|
|
Fig. 2: Rspo2 inhibits BMP4 signaling in Xenopus dorsoventral embryonic patterning. a Microinjection strategy for aâf, and representative phenotypes of Xenopus laevis tadpoles (St. 32) injected with the indicated mRNAs radially at 4-cell stage. Dashed lines, head size. Arrowheads, enlarged ventral structure. b Quantification of embryonic phenotypes shown in a. âVentralizedâ represents embryos with both small head and enlarged ventral structure, reminiscent of BMP hyperactivation. âCE defectâ refers to embryos with convergent extension (gastrulation) defects, unrelated to BMP signaling. Note that rspo2 mRNA dosage used in a was below those that cause gastrulation defects. nâ=ânumber of embryos. c, d BMP-(vent2) reporter assays with Xenopus laevis neurulae (St.15) injected with reporter plasmids and the indicated Mo at 4-cell stage. nâ=âbiologically independent samples and data are displayed as meansâ±âSD. ns, not significant. *Pâ<â0.1, **Pâ<â0.01, ****Pâ<â0.0001 from two-tailed unpaired t-test. e In situ hybridization of vent1 and sizzled in Xenopus laevis gastrulae (St.11, dorsal to the top, vegetal view) injected as indicated. D, dorsal, V, ventral. Asterisk, abolishment of the expression. Dashed line, dorsal blastopore lip (dbl). Scale bar, 0.5âmm. f Quantification of embryonic phenotypes shown in (e). âExpressedâ, normal, increased or reappearance of vent1/sizzled expression. âAbolishedâ, complete absence of vent1/sizzled expression. Data are pooled from two independent experiments. nâ=ânumber of embryos. g Microinjection strategy and representative phenotypes of Xenopus tropicalis tadpole (St.30) Crispants and tadpoles (St.30) injected with bmp4 mRNA or lrp6 Mo. At 1-cell stage, Cas9 protein with guide RNA (gRNA) targeting rspo2 or chd, or both gRNAs were injected animally. Dashed lines, head size. Arrowheads, enlarged ventral structure. h Quantification embryonic phenotypes shown in g. âSevereâ showed small head, enlarged ventral tissues and short body axis. âMildâ showed one or two of the defects described above. âNormalâ showed no visible differences to the uninjected control. nâ=ânumber of embryos. ns, not significant. **Pâ<â0.01, ***Pâ<â0.001, ****Pâ<â0.0001 from two-tailed Ï2 test comparing normal versus ventralized phenotypes (b), two-tailed Ï2 test comparing expressed versus abolished (f), or two-tailed Ï2 test comparing normal versus severe and mild defects h. |
|
|
Fig. 3: Rspo2 is a negative feedback inhibitor in the BMP4 synexpression group. a In situ hybridization of rspo2 and bmp4 in Xenopus laevis at gastrula (St. 11, dorsal to the top, vegetal view), neurula (St. 15, anterior to the top, dorsal view), and tadpole (St. 32, anterior to the left, lateral view). Dashed lines, dorsal blastopore lip (dbl); anp, anterior neural plate; di, diencephalon; mhb, mid-hindbrain boundary; ov, otic vesicle; a, atria; nt, neural tube; de, dorsal eye; h, heart; pdm, proctodeum. Scale bar, 0.5âmm. b Microinjection and experimental scheme for câe. 2 or 4 cell stage Xenopus laevis embryos were animally injected with control (ppl) or bmp4 mRNA. The animal cap (AC) explants were dissected from injected embryos at stage 8, and either treated or untreated with cycloheximide (CHX) until control embryos reached stage 10 for qRT-PCR (c) or in situ hybridization (d, e). c qRT-PCR of rspo2, sizzled, and vent1 expression in the AC explants injected and treated as indicated. Data are pooled from three independent experiments with similar results and displayed as meansâ±âSD. ns, not significant, *Pâ<â0.05, **Pâ<â0.01, ****Pâ<â0.0001 from two-tailed unpaired t-test. d In situ hybridization of rspo2 and sizzled in the AC explants injected and treated as indicated. e Quantification of (d). nâ=ânumber of the AC explants. f Model for Rspo2 function as a negative feedback inhibitor of BMP4 in Xenopus dorsoventral patterning. |
|
|
Fig. 4: RSPO2 and RSPO3 interact with BMPR1A via the TSP1 domain. aâc BRE reporter assays in HEPG2 cells transfected with constitutively active (QD) BMPR1A (a), ACVR1 (b), or BMPR1B (c) with or without BMP4 and RSPO1-4 treatment overnight. d Cell surface binding assay in HEK293T cells. (Left) Scheme of the assay. Cells were transfected with BMPR1A or LGR4 DNA, and treated with same amount of RSPO1-4-AP upon DSP crosslinking as indicated. Binding was detected as purple stain on cell surface by chromogenic AP assay. (Right) Images of cells transfected and treated as indicated. Data shows a representative from four independent experiments. For quantification, see Supplementary Fig. 5a. Scale bar, 1âmm. e In vitro binding assay between RSPO1-4, FGF and BMPR1AECD. (Left) Scheme of the assay. RSPOs and FGF recombinant proteins were coated on plate as baits, followed by BMPR1AECD-AP treatment overnight. (Right) Bound BMPR1AECD was detected by chromogenic AP assay. Normalized AP activity with control treatment was set to 1. f Scatchard plot of RSPO2 and BMPR1AECD binding to validate Kd for RSPO2-BMPR1A. g Domain structures of the RSPO1 and RSPO2TSP1 with Strep-HA and flag tags used in h. SP, signal peptide; TSP1, thrombospondin domain 1. h In vitro binding assay for RSPOTSP1 and BMPR1AECD. (Left) Scheme of the assay. HA-harboring RSPO1/2TSP1 were captured to HA antibody coated plate, and BMPR1AECD-AP was treated overnight. (Right) Bound BMPR1A to RSPOTSP1 was detected with absorbance. i Domain structures of the RSPO1, RSPO2, and R1-TSPR2. SP, signal peptide; FU, furin domain; TSP1, thrombospondin domain 1. Dashed box indicates the TSP1 domain swapping. j TOPFlash reporter assay in HEPG2 cells upon WNT3A with or without (i) as indicated. k BRE reporter assay in HEPG2 cells upon BMP4 with or without (i) as indicated. For reporter assays (aâc, j, k), nâ=â3 biologically independent samples; In vitro binding assays (e, h), nâ=â3 experimentally independent samples. All data are displayed as meanâ±âSD. ns, not significant, *Pâ<â0.05, **Pâ<â0.01, ***Pâ<â0.001, ****Pâ<â0.0001 from two-tailed unpaired t-test (a, b, e, h, j, k) or one-way ANOVA test (c). |
|
|
Fig. 5: Loss of Rspo2-TSP1 domain activates BMP signaling in Xenopus development. a Scheme for rspo2âTSP splicing Mo in Xenopus laevis. b TOPFlash assay in Xenopus laevis neurulae (St.15) injected radially at 4-cell stage with reporter plasmids and Mo as indicated. Data are displayed as meanâ±âSD; ns, not significant, ****Pâ<â0.0001 from two-tailed unpaired t-test. nâ=â3 biologically independent samples. c BMP-reporter (vent2) assay in Xenopus laevis neurulae (St.15) injected radially at 4-cell stage with reporter plasmids and Mo as indicated. Data are displayed as meanâ±âSD; ***Pâ<â0.001, ****Pâ<â0.0001 from two-tailed unpaired t-test. nâ=â3 biologically independent samples. dâg In situ hybridization of BMP4 targets vent1 and sizzled in Xenopus laevis. Embryos were injected radially and equatorially at 4-cell stage as indicated. Gastrulae (St.11) (d) and quantification (e); Tadpoles (St. 32) (f) and quantification (g). Dashed lines, dorsal blastopore lip (dbl) (d) or bf1 expression (e); D, dorsal; V, ventral. For f, left, lateral view; middle, magnified view of head; right, magnified view of ventral side. âIncreased/Decreasedâ represents embryos with significant expansion/reduction of sizzled or vent1 signals toward the dorsal/ventral side of the embryo (e), or with significant increase/decrease of the signal strength (g). ns, not significant. n, number of embryos. Scale bar, 0.5âmm. Scoring of the embryos for quantification was executed with blinding from two individuals. For e, g, **Pâ<â0.01, ***Pâ<â0.001, ****Pâ<â0.0001 from two-tailed Ï2 test comparing normal versus increased. Data are pooled from at least two independent experiments. |
|
|
Fig. 6: RSPO2 removes cell surface BMPR1A. a Western blot analysis in H1581 cells treated with siControl or siRSPO2 as indicated and transfected with or without BMPR1A-HA DNA. Transferrin receptor (TfR), a loading control. Ratio, relative levels of BMPR1A-HA normalized to TfR. Data shows representative result from 3 independent experiments with similar conclusion. b Western blot analysis of Bmpr1a in Xenopus laevis (St. 15) neurulae injected animally at 2-cell to 4-cell stages as indicated. GFP mRNA was injected as an injection control. Ratio, relative levels of Bmpr1a normalized to GFP. Data shows representative result from 3 independent experiments with similar conclusion. c Scheme for immunofluorescence microscopy (IF) in Xenopus laevis animal cap (AC) explants. Embryos were injected animally at 4-cell stage with bmpr1a-EYFP and memb-RFP mRNA along with bmp4 and rspo2 wild-type or mutant mRNA. AC explants were dissected at St.9 for IF. Membrane (memb)-RFP was used as a control comparing relative change of Bmpr1a-EYFP signal at cell surface. d IF for Bmpr1a (green) and cell membrane (red) in AC explants injected as indicated, with a representative cell (top) and magnification (inset). Scale bar, 20âμm. e Quantification of d. nâ=âthe number of areas analyzed and data are displayed as mean ± SD. ns, not significant; ****Pâ<â0.0001 from two-tailed unpaired t-test. f Scheme for IF in Xenopus laevis ventrolateral marginal zone explants (VLMZ). Embryos were ventrally injected at 4-cell stage with bmpr1a-EYFP and memb-RFP mRNA with Mo. VLMZs were dissected at stage 11.5 for IF. g IF for Bmpr1a (green) and cell membrane (memb-RFP, red) in VLMZ injected with mRNA and Mo as indicated. Scale bar, 20âμm. h Quantification of g. nâ=âthe number of areas analyzed and data are displayed as meanâ±âSD. **Pâ<â0.01, ***Pâ<â0.001 from two-tailed unpaired t-test. i Western blot analysis of Bmpr1a in Xenopus laevis neurulae (St. 18) injected radially at 4-cell stage as indicated. Gapdh, a loading control. Data shows representative result from 2 independent experiments with similar conclusion. |
|
|
Fig. 7: RSPO2 requires ZNRF3 to antagonize BMP4-BMPR1A signaling. a BRE reporter assay in HEPG2 cells. Cells were transfected with siControl or siZNRF3/siRNF43, and BMP4 with or without RSPO1-4 were added overnight as indicated. Normalized BRE activity upon BMP4 without RSPO2 stimulation was set to 100%. nâ=â3 biologically independent samples. b BRE reporter assay in HEPG2 cells upon ZNRF3ÎR transfection, with or without overnight BMP4 and RSPO2 treatment as indicated. nâ=â3 biologically independent samples. c BMP-reporter (vent2) assay in Xenopus laevis St.15 neurulae. Embryos were injected animally with reporter plasmids and the indicated Mo with or without rspo2 mRNA at 4-cell stage. Normalized vent2 activity of control Mo injected embryos with reporter plasmids was set to 1. nâ=â3 biologically independent samples. d Immunofluorescence microscopy (IF) in Xenopus laevis animal cap explants for Bmpr1a (green) and the plasma membrane (red) from embryos injected with mRNA as indicated, with a representative cell (top) and magnification (inset). Scale bar, 20âμm. For scheme, see Fig. 6c. e Quantification of d. nâ=âareas analyzed and data are displayed as meanâ±âSD. ns, not significant, ****Pâ<â0.0001 from one-way ANOVA analysis. fâg BRE reporter assay in HEPG2 cells treated with BMP4 and RSPO2/RSPO2ÎFU1/RSPO2ÎFU2 overnight as indicated. For domain structure of RSPO2ÎFU1/RSPO2ÎFU2, see Supplementary Fig. 8a. nâ=â3 biologically independent samples. h IF for Bmpr1a (green) and plasma membrane (red) in animal cap explants injected as indicated, with a representative cell (top) and magnification (inset) showing the plasma membrane. Scale bar, 20âμm. For domain structure of Xenopus Rspo2 mutants, see Supplementary Fig. 8d. i Quantification of h. nâ=âareas analyzed and data are displayed as meanâ±âSD. ns, not significant, ****Pâ<â0.0001 from one-way ANOVA analysis. All data are displayed as meanâ±âSD. The P values for reporter assays (aâc, f, g) were determined from two-tailed unpaired t-test. ns, not significant; *Pâ<â0.05, **Pâ<â0.01, ***Pâ<â0.001, ****Pâ<â0.0001. |
|
|
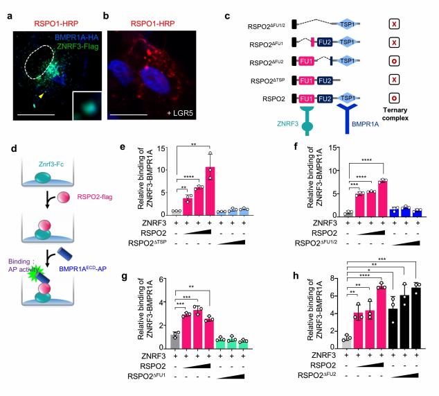
Fig. 8: RSPO2 bridges BMPR1A and ZNRF3 and triggers BMP receptor clearance from the cell surface.. a, b In vitro binding assay between ZNRF3 and BMPR1AECD mediated by RSPO1-3. ZNRF3-Fc protein was used as a bait, with sequential RSPO1-3 protein and BMPR1AECD-AP treatment. Bound BMPR1AECD to ZNRF3 was detected by chromogenic AP assay. nâ=â3 experimentally independent samples. c, d IF in H1581 cells transfected with BMPR1A-HA and ZNRF3-flag DNA upon RSPO2 and RSPO3-HRP treatment for 3âh. RSPOs (red) were visualized with tyramid signal amplification. BMPR1A (blue) and ZNRF3 (green) were stained against HA and flag antibody. White arrowheads, colocalized BMPR1A/RSPO2; white arrows, colocalized BMPR1A/RSPO2-3/ZNRF3; yellow arrow, colocalized BMPR1A/RSPO2-3/ZNRF3 in magnified inset; Dashed lines, nucleus. Scale bar, 20âμm. eâh IF of colocalized BMPR1A (green)/ZNRF3 (red) in H1581 cells treated with siRNA as indicated. Nuclei were stained with Hoechst. Scale bar, 20âμm. i Quantification of BMPR1A colocalizing with ZNRF3 from eâh. jâl IF of BMPR1A (green) in H1581 cells treated with siRNA as indicated. m Quantification of cells harboring membrane localized BMPR1A from jâl. Scale bar, 20âμm. n Cell surface biotinylation assay in H1581 cells treated with BMPR1A-HA and siRNA as indicated. Co, control; R2, RSPO2; ZR, ZNRF3/RNF43 siRNA. After labeling surface proteins with Biotin, lysates were pulled down with streptavidin beads and subjected to Western blot analysis. Transferrin receptor (TfR), a loading control. TCL, Total cell lysate. Data shows results representative for 2 from 3 independent experiments. o BRE reporter assay in HEPG2 cells treated as indicated. MDC, monodansylcadaverin. nâ=â3 biological replicates. p IF of colocalized BMPR1A (green)/EEA1 (magenta) in H1581 cells treated with siRNA. White arrowheads, colocalized BMPR1A/EEA1 in magnified inset. q Quantification of p. Scale bar, 20âμm. r IF of colocalized BMPR1A (green)/Lamp1 (red) in H1581 cells treated with siRNA as indicated. White arrowheads, colocalized BMPR1A/Lamp1 in magnified inset. Scale bar, 20âμm. s Quantification of r. For i, m, q, s, nâ=âthe number of cells pooled from 2 independent experiments. Data for (a, b, i, m, o, q, s) are displayed as meanâ±âSD. ns, not significant, *Pâ<â0.05, **Pâ<â0.01, ***Pâ<â0.001, ****Pâ<â0.0001 from two-tailed unpaired t-test. |
|
|
Supplementary Fig. 1 |
|
|
Supplementary Fig. 2 |
|
|
Supplementary Fig. 3 |
|
|
Supplementary Fig. 4 |
|
|
Supplementary Fig. 5 |
|
|
Supplementary Fig. 6 |
|
|
Supplementary Fig. 7 |
|
|
Supplementary Fig. 8 |
|
|
Supplementary Fig. 9 |
|
|
Supplementary Fig. 10 |
|
|
Supplementary Fig. 11 |
References [+] :
Antebi,
Combinatorial Signal Perception in the BMP Pathway.
2017, Pubmed
Antebi, Combinatorial Signal Perception in the BMP Pathway. 2017, Pubmed
Bachiller, The organizer factors Chordin and Noggin are required for mouse forebrain development. 2000, Pubmed
Bell, R-spondin 2 is required for normal laryngeal-tracheal, lung and limb morphogenesis. 2008, Pubmed
Berger, Parkinson's disease-associated receptor GPR37 is an ER chaperone for LRP6. 2017, Pubmed
Blitz, Twisted gastrulation loss-of-function analyses support its role as a BMP inhibitor during early Xenopus embryogenesis. 2003, Pubmed , Xenbase
Carmon, R-spondins function as ligands of the orphan receptors LGR4 and LGR5 to regulate Wnt/beta-catenin signaling. 2011, Pubmed
Chang, Agonists and Antagonists of TGF-β Family Ligands. 2016, Pubmed
Chang, The tumor suppressor PTPRK promotes ZNRF3 internalization and is required for Wnt inhibition in the Spemann organizer. 2020, Pubmed , Xenbase
Chartier, Therapeutic Targeting of Tumor-Derived R-Spondin Attenuates β-Catenin Signaling and Tumorigenesis in Multiple Cancer Types. 2016, Pubmed
Dal-Pra, Noggin1 and Follistatin-like2 function redundantly to Chordin to antagonize BMP activity. 2006, Pubmed , Xenbase
David, Contextual determinants of TGFβ action in development, immunity and cancer. 2018, Pubmed
de Lau, The R-spondin/Lgr5/Rnf43 module: regulator of Wnt signal strength. 2014, Pubmed , Xenbase
De Robertis, The establishment of Spemann's organizer and patterning of the vertebrate embryo. 2000, Pubmed , Xenbase
Fisher, Heparan sulfate proteoglycans including syndecan-3 modulate BMP activity during limb cartilage differentiation. 2006, Pubmed
Fujii, Roles of bone morphogenetic protein type I receptors and Smad proteins in osteoblast and chondroblast differentiation. 1999, Pubmed
Gamer, BMP-3 is a novel inhibitor of both activin and BMP-4 signaling in Xenopus embryos. 2005, Pubmed , Xenbase
Gawantka, Antagonizing the Spemann organizer: role of the homeobox gene Xvent-1. 1995, Pubmed , Xenbase
Glinka, LGR4 and LGR5 are R-spondin receptors mediating Wnt/β-catenin and Wnt/PCP signalling. 2011, Pubmed , Xenbase
Goto, Selective inhibitory effects of Smad6 on bone morphogenetic protein type I receptors. 2007, Pubmed
Hao, Control of Wnt Receptor Turnover by R-spondin-ZNRF3/RNF43 Signaling Module and Its Dysregulation in Cancer. 2016, Pubmed
Hao, ZNRF3 promotes Wnt receptor turnover in an R-spondin-sensitive manner. 2012, Pubmed , Xenbase
Harland, Formation and function of Spemann's organizer. 1997, Pubmed
Heldin, TGF-beta signalling from cell membrane to nucleus through SMAD proteins. 1997, Pubmed
Heldin, Signaling Receptors for TGF-β Family Members. 2016, Pubmed
Huch, In vitro expansion of single Lgr5+ liver stem cells induced by Wnt-driven regeneration. 2013, Pubmed
Ide, Cloning of human bone morphogenetic protein type IB receptor (BMPR-IB) and its expression in prostate cancer in comparison with other BMPRs. 1997, Pubmed
Janda, Surrogate Wnt agonists that phenocopy canonical Wnt and β-catenin signalling. 2017, Pubmed
Karaulanov, Transcriptional regulation of BMP4 synexpression in transgenic Xenopus. 2004, Pubmed , Xenbase
Kazanskaya, R-Spondin2 is a secreted activator of Wnt/beta-catenin signaling and is required for Xenopus myogenesis. 2004, Pubmed , Xenbase
Khokha, Depletion of three BMP antagonists from Spemann's organizer leads to a catastrophic loss of dorsal structures. 2005, Pubmed , Xenbase
Kim, Mitogenic influence of human R-spondin1 on the intestinal epithelium. 2005, Pubmed
Kim, R-Spondin family members regulate the Wnt pathway by a common mechanism. 2008, Pubmed
Kirsch, Angiopoietin-like 4 Is a Wnt Signaling Antagonist that Promotes LRP6 Turnover. 2017, Pubmed , Xenbase
Klauzinska, Rspo2/Int7 regulates invasiveness and tumorigenic properties of mammary epithelial cells. 2012, Pubmed
Koo, Tumour suppressor RNF43 is a stem-cell E3 ligase that induces endocytosis of Wnt receptors. 2012, Pubmed
Lebensohn, R-spondins can potentiate WNT signaling without LGRs. 2018, Pubmed
Leibovich, Expression of the ALK1 family of type I BMP/ADMP receptors during gastrula stages in Xenopus embryos. 2017, Pubmed , Xenbase
Massagué, TGF-beta signal transduction. 1998, Pubmed
Morrell, Targeting BMP signalling in cardiovascular disease and anaemia. 2016, Pubmed
Mulvaney, Secreted factor R-Spondin 2 is involved in refinement of patterning of the mammalian cochlea. 2013, Pubmed
Nakayama, Xenopus Smad8 acts downstream of BMP-4 to modulate its activity during vertebrate embryonic patterning. 1998, Pubmed , Xenbase
Nakayama, Cas9-based genome editing in Xenopus tropicalis. 2014, Pubmed , Xenbase
Nam, Dynamic expression of R-spondin family genes in mouse development. 2007, Pubmed
Nam, Mouse R-spondin2 is required for apical ectodermal ridge maintenance in the hindlimb. 2007, Pubmed
Nanki, Divergent Routes toward Wnt and R-spondin Niche Independency during Human Gastric Carcinogenesis. 2018, Pubmed
Niehrs, Regionally specific induction by the Spemann-Mangold organizer. 2004, Pubmed
Niehrs, Synexpression groups in eukaryotes. 1999, Pubmed , Xenbase
Ohkawara, Rspo3 binds syndecan 4 and induces Wnt/PCP signaling via clathrin-mediated endocytosis to promote morphogenesis. 2011, Pubmed , Xenbase
Olivares, Syndecan-1 regulates BMP signaling and dorso-ventral patterning of the ectoderm during early Xenopus development. 2009, Pubmed , Xenbase
Onichtchouk, Silencing of TGF-beta signalling by the pseudoreceptor BAMBI. 1999, Pubmed , Xenbase
Paulsen, Negative feedback in the bone morphogenetic protein 4 (BMP4) synexpression group governs its dynamic signaling range and canalizes development. 2011, Pubmed , Xenbase
Reis, Rspo2 antagonizes FGF signaling during vertebrate mesoderm formation and patterning. 2020, Pubmed , Xenbase
Reversade, Depletion of Bmp2, Bmp4, Bmp7 and Spemann organizer signals induces massive brain formation in Xenopus embryos. 2005, Pubmed , Xenbase
Salazar, BMP signalling in skeletal development, disease and repair. 2016, Pubmed
Sato, Single Lgr5 stem cells build crypt-villus structures in vitro without a mesenchymal niche. 2009, Pubmed
Schille, Differential requirement of bone morphogenetic protein receptors Ia (ALK3) and Ib (ALK6) in early embryonic patterning and neural crest development. 2016, Pubmed , Xenbase
Seshagiri, Recurrent R-spondin fusions in colon cancer. 2012, Pubmed
Szenker-Ravi, RSPO2 inhibition of RNF43 and ZNRF3 governs limb development independently of LGR4/5/6. 2018, Pubmed , Xenbase
Tsang, The hereditary spastic paraplegia proteins NIPA1, spastin and spartin are inhibitors of mammalian BMP signalling. 2009, Pubmed
Wiater, Inhibin is an antagonist of bone morphogenetic protein signaling. 2003, Pubmed
Wu, TGF-β and BMP signaling in osteoblast, skeletal development, and bone formation, homeostasis and disease. 2016, Pubmed
Yan, Non-equivalence of Wnt and R-spondin ligands during Lgr5+ intestinal stem-cell self-renewal. 2017, Pubmed
Zhang, BMP Signaling in Development, Stem Cells, and Diseases of the Gastrointestinal Tract. 2020, Pubmed
Zylbersztejn, The BMP pathway: A unique tool to decode the origin and progression of leukemia. 2018, Pubmed
