XB-ART-59645
PLoS One
2023 Jan 01;181:e0277110. doi: 10.1371/journal.pone.0277110.
Show Gene links
Show Anatomy links
The cellular basis of cartilage growth and shape change in larval and metamorphosing Xenopus frogs.
Rose CS
.
???displayArticle.abstract???
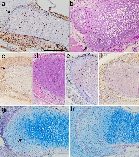
As the first and sometimes only skeletal tissue to appear, cartilage plays a fundamental role in the development and evolution of vertebrate body shapes. This is especially true for amphibians whose largely cartilaginous feeding skeleton exhibits unparalleled ontogenetic and phylogenetic diversification as a consequence of metamorphosis. Fully understanding the evolutionary history, evolvability and regenerative potential of cartilage requires in-depth analysis of how chondrocytes drive growth and shape change. This study is a cell-level description of the larval growth and postembryonic shape change of major cartilages of the feeding skeleton of a metamorphosing amphibian. Histology and immunohistochemistry are used to describe and quantify patterns and trends in chondrocyte size, shape, division, death, and arrangement, and in percent matrix from hatchling to froglet for the lower jaw, hyoid and branchial arch cartilages of Xenopus laevis. The results are interpreted and integrated into programs of cell behaviors that account for the larval growth and histology, and metamorphic remodeling of each element. These programs provide a baseline for investigating hormone-mediated remodeling, cartilage regeneration, and intrinsic shape regulating mechanisms. These programs also contain four features not previously described in vertebrates: hypertrophied chondrocytes being rejuvenated by rapid cell cycling to a prechondrogenic size and shape; chondrocytes dividing and rearranging to reshape a cartilage; cartilage that lacks a perichondrium and grows at single-cell dimensions; and an adult cartilage forming de novo in the center of a resorbing larval one. Also, the unexpected superimposition of cell behaviors for shape change onto ones for larval growth and the unprecedented exploitation of very large and small cell sizes provide new directions for investigating the development and evolution of skeletal shape and metamorphic ontogenies.
???displayArticle.pubmedLink??? 36634116
???displayArticle.pmcLink??? PMC9836273
???displayArticle.link??? PLoS One
Species referenced: Xenopus laevis
Genes referenced: casp3 casp3.2 eno3 fubp1 pcna
GO keywords: larval development [+]
???displayArticle.antibodies??? Casp3.2 Ab10 Casp3 Ab1 Casp3 Ab3
???attribute.lit??? ???displayArticles.show???
References [+] :
Aichhorn,
Vascular regression during amphibian metamorphosis--a scanning electron microscope study of vascular corrosion casts of the ventral velum in tadpoles of Xenopus laevis Daudin.
1996, Pubmed,
Xenbase
Aichhorn, Vascular regression during amphibian metamorphosis--a scanning electron microscope study of vascular corrosion casts of the ventral velum in tadpoles of Xenopus laevis Daudin. 1996, Pubmed , Xenbase
Alberch, The fate of larval chondrocytes during the metamorphosis of the epibranchial in the salamander, Eurycea bislineata. 1985, Pubmed
Brun, Relationships between calpains and glutamate- or kainate-induced apoptosis in Xenopus laevis tadpoles. 2013, Pubmed , Xenbase
Carpenter, CellProfiler: image analysis software for identifying and quantifying cell phenotypes. 2006, Pubmed
Cole, The nature and significance of invertebrate cartilages revisited: distribution and histology of cartilage and cartilage-like tissues within the Metazoa. 2004, Pubmed
Cooper, Multiple phases of chondrocyte enlargement underlie differences in skeletal proportions. 2013, Pubmed
Costa, Peripheral shift in the viable chondrocyte population of the medial femoral condyle after anterior cruciate ligament injury in the porcine knee. 2021, Pubmed
Crowley, Analyzing Cell Death by Nuclear Staining with Hoechst 33342. 2016, Pubmed
Daniel, Quantification of sPLA2-induced early and late apoptosis changes in neuronal cell cultures using combined TUNEL and DAPI staining. 2004, Pubmed
D'Arcy, Cell death: a review of the major forms of apoptosis, necrosis and autophagy. 2019, Pubmed
Dash, The development, patterning and evolution of neural crest cell differentiation into cartilage and bone. 2020, Pubmed
Desrochers, Viscoelasticity of the articular cartilage surface in early osteoarthritis. 2012, Pubmed
Estefa, New light shed on the early evolution of limb-bone growth plate and bone marrow. 2021, Pubmed
Farnum, Forelimb versus hindlimb skeletal development in the big brown bat, Eptesicus fuscus: functional divergence is reflected in chondrocytic performance in Autopodial growth plates. 2008, Pubmed
Fellows, Characterisation of a divergent progenitor cell sub-populations in human osteoarthritic cartilage: the role of telomere erosion and replicative senescence. 2017, Pubmed
Fischer, Androgen-directed development of the Xenopus laevis larynx: control of androgen receptor expression and tissue differentiation. 1995, Pubmed , Xenbase
Foolen, Collagen orientation in periosteum and perichondrium is aligned with preferential directions of tissue growth. 2008, Pubmed
Fritz, Shared developmental programme strongly constrains beak shape diversity in songbirds. 2014, Pubmed
Galea, Making and shaping endochondral and intramembranous bones. 2021, Pubmed
Gaze, Development of the tectum and diencephalon in relation to the time of arrival of the earliest optic fibres in Xenopus. 1992, Pubmed , Xenbase
Gross, Segmentation of the vertebrate skull: neural-crest derivation of adult cartilages in the clawed frog, Xenopus laevis. 2008, Pubmed , Xenbase
Gross, Review of fate-mapping studies of osteogenic cranial neural crest in vertebrates. 2008, Pubmed , Xenbase
Gvaramia, Regenerative Potential of Perichondrium: A Tissue Engineering Perspective. 2022, Pubmed
Hadfield, Why and how marine-invertebrate larvae metamorphose so fast. 2000, Pubmed
Haghighi, The cytotoxic activities of 7-isopentenyloxycoumarin on 5637 cells via induction of apoptosis and cell cycle arrest in G2/M stage. 2014, Pubmed
Haines, The Primitive Form of Epiphysis in the Long Bones of Tetrapods. 1938, Pubmed
Harada, Evidence for transformation of chondrocytes and site-specific resorption during the degradation of Meckel's cartilage. 1998, Pubmed
Hayes, The development of articular cartilage: evidence for an appositional growth mechanism. 2001, Pubmed
Henderson, Rapid growth of cartilage rudiments may generate perichondrial structures by mechanical induction. 2007, Pubmed
Heubel, Endochondral growth zone pattern and activity in the zebrafish pharyngeal skeleton. 2021, Pubmed
Huysseune, Mechanisms of branchial cartilage growth in Astatotilapia elegans (Teleostei: Cichlidae). 1988, Pubmed
Ikejiri, Histology-based morphology of the neurocentral synchondrosis in Alligator mississippiensis (Archosauria, Crocodylia). 2012, Pubmed
Kari, Programmed cell death detection methods: a systematic review and a categorical comparison. 2022, Pubmed
Kaucka, Oriented clonal cell dynamics enables accurate growth and shaping of vertebrate cartilage. 2017, Pubmed
Kaucka, Evolution and development of the cartilaginous skull: From a lancelet towards a human face. 2019, Pubmed
Kaucka, Signals from the brain and olfactory epithelium control shaping of the mammalian nasal capsule cartilage. 2018, Pubmed
Kerney, Cartilage on the move: cartilage lineage tracing during tadpole metamorphosis. 2012, Pubmed , Xenbase
Kimmel, The shaping of pharyngeal cartilages during early development of the zebrafish. 1998, Pubmed
Kirkwood, Patterns of cell proliferation and growth rate in limb bones of the domestic fowl (Gallus domesticus). 1989, Pubmed
Kroemer, Classification of cell death: recommendations of the Nomenclature Committee on Cell Death. 2005, Pubmed
Kronenberg, Developmental regulation of the growth plate. 2003, Pubmed
Lukas, Bapx1 is required for jaw joint development in amphibians. 2018, Pubmed , Xenbase
Lukas, Sequence and timing of early cranial skeletal development in Xenopus laevis. 2018, Pubmed , Xenbase
Lundberg, Spatial proteomics: a powerful discovery tool for cell biology. 2019, Pubmed
Ma, Skeletal development of the chondrocranium in the tongue sole Cynoglossus semilaevis (Pleuronectiformes: Cynoglossidae). 2019, Pubmed
Mallarino, Closely related bird species demonstrate flexibility between beak morphology and underlying developmental programs. 2012, Pubmed
Mallarino, Two developmental modules establish 3D beak-shape variation in Darwin's finches. 2011, Pubmed
Marconi, Adult chondrogenesis and spontaneous cartilage repair in the skate, Leucoraja erinacea. 2020, Pubmed
McBratney-Owen, Development and tissue origins of the mammalian cranial base. 2008, Pubmed
McQueen, Establishing the pattern of the vertebrate limb. 2020, Pubmed
Miura, Skeletogenesis in Xenopus tropicalis: characteristic bone development in an anuran amphibian. 2008, Pubmed , Xenbase
Parker, An expressed fgf4 retrogene is associated with breed-defining chondrodysplasia in domestic dogs. 2009, Pubmed
Pasqualetti, Ectopic Hoxa2 induction after neural crest migration results in homeosis of jaw elements in Xenopus. 2000, Pubmed , Xenbase
Perathoner, Bioelectric signaling regulates size in zebrafish fins. 2014, Pubmed , Xenbase
Peterson, Set-aside cells in maximal indirect development: evolutionary and developmental significance. 1997, Pubmed
Pinet, Adaptive correction of craniofacial defects in pre-metamorphic Xenopus laevis tadpoles involves thyroid hormone-independent tissue remodeling. 2019, Pubmed , Xenbase
Poole, Articular cartilage chondrons: form, function and failure. 1997, Pubmed
Reno, Growth plate formation and development in alligator and mouse metapodials: evolutionary and functional implications. 2007, Pubmed
Rose, Plasticity of lung development in the amphibian, Xenopus laevis. 2013, Pubmed , Xenbase
Rose, Deconstructing cartilage shape and size into contributions from embryogenesis, metamorphosis, and tadpole and frog growth. 2015, Pubmed , Xenbase
Rose, How thyroid hormones and their inhibitors affect cartilage growth and shape in the frog Xenopus laevis. 2019, Pubmed , Xenbase
Rose, Caging, but not air deprivation, slows tadpole growth and development in the amphibian Xenopus laevis. 2014, Pubmed , Xenbase
Rose, Generating, growing and transforming skeletal shape: insights from amphibian pharyngeal arch cartilages. 2009, Pubmed
Rose, The importance of cartilage to amphibian development and evolution. 2014, Pubmed
Saxena, The origins, scaling and loss of tetrapod digits. 2017, Pubmed
Sokol, The free swimming Pipa larvae, with a review of pipid larvae and pipid phylogeny (Anura: Pipidae). 1977, Pubmed , Xenbase
Soldatov, Spatiotemporal structure of cell fate decisions in murine neural crest. 2019, Pubmed
Square, A gene expression map of the larval Xenopus laevis head reveals developmental changes underlying the evolution of new skeletal elements. 2015, Pubmed , Xenbase
Starck, Quantitative design of the skeleton in bird hatchlings: Does tissue compartmentalization limit posthatching growth rates? 1994, Pubmed
Stockwell, Chondrocytes. 1978, Pubmed
Szabo-Rogers, New directions in craniofacial morphogenesis. 2010, Pubmed
Thampi, Changes in the appendicular skeleton during metamorphosis in the axolotl salamander (Ambystoma mexicanum). 2018, Pubmed
Thomson, A quantitative analysis of cellular and matrix changes in Meckel's cartilage in Xenopus laevis. 1987, Pubmed , Xenbase
Thomson, Meckel's cartilage in Xenopus laevis during metamorphosis: a light and electron microscope study. 1986, Pubmed , Xenbase
Thomson, A preliminary investigation into the effect of thyroid hormones on the metamorphic changes in Meckel's cartilage in Xenopus laevis. 1989, Pubmed , Xenbase
Tsang, Fate of growth plate hypertrophic chondrocytes: death or lineage extension? 2015, Pubmed
Vandenberg, V-ATPase-dependent ectodermal voltage and pH regionalization are required for craniofacial morphogenesis. 2011, Pubmed , Xenbase
Vandenberg, Normalized shape and location of perturbed craniofacial structures in the Xenopus tadpole reveal an innate ability to achieve correct morphology. 2012, Pubmed , Xenbase
Vickovic, High-definition spatial transcriptomics for in situ tissue profiling. 2019, Pubmed
Vinod, Reserve or Resident Progenitors in Cartilage? Comparative Analysis of Chondrocytes versus Chondroprogenitors and Their Role in Cartilage Repair. 2018, Pubmed
Wilsman, Differential growth by growth plates as a function of multiple parameters of chondrocytic kinetics. 1996, Pubmed
Wu, Molecular shaping of the beak. 2004, Pubmed
Wu, Morphoregulation of avian beaks: comparative mapping of growth zone activities and morphological evolution. 2006, Pubmed
Yang, Autophagy prior to chondrocyte cell death during the degeneration of Meckel's cartilage. 2012, Pubmed
Yaoita, Tail Resorption During Metamorphosis in Xenopus Tadpoles. 2019, Pubmed , Xenbase
Zhu, Bare bones pattern formation: a core regulatory network in varying geometries reproduces major features of vertebrate limb development and evolution. 2010, Pubmed
Ziermann, Patterns of spatial and temporal cranial muscle development in the African clawed frog, Xenopus laevis (Anura: Pipidae). 2007, Pubmed , Xenbase
