Click here to close Hello! We notice that you are using Internet Explorer, which is not supported by Xenbase and may cause the site to display incorrectly. We suggest using a current version of Chrome, FireFox, or Safari.

Summary Images Attributions Wiki Source
XB-ANTIBODY-29231169

Antibody Name: Piezo Ab2

Common Name: 28511-1-AP

RRID: AB_2881161
Synonyms: FAM38A , KIAA0233, PIEZO1 (extracellular domain) antibody

Antigens
XAO: brain

Clone Type: Polyclonal
Source: Protein Tech

Antibody
Clone Number
Purification Affinity Purification
Isotype IgG
Host Organism rabbit
Xenopus Reactivity X. laevis
Non-Xenopus Reactivity human, mouse, rat
Description: rabbit anti-Piezo1 antibody Proper Citation: Proteintech Cat# 28511-1-AP, RRID:AB_2881161
Immunogen
Name PIEZO
Type polypeptide
Post Translational Modifications None
Source Organism human
Description 108-294 aa of BC008073
Sequence [+]
Reported Usage
immunohistochemistry 1:10 dilution
Publications
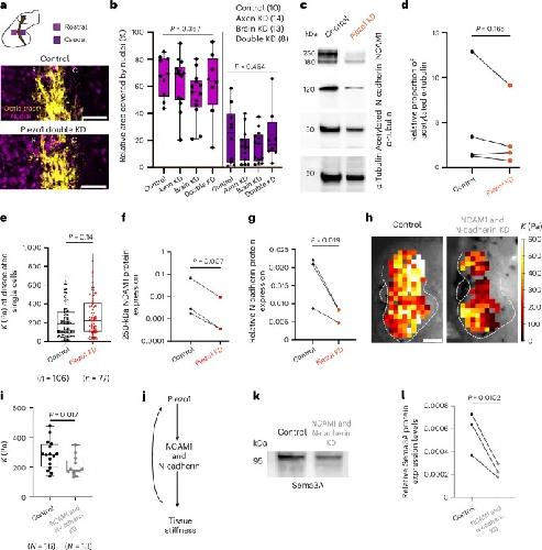
???displayAntibody.papersFirst??? Long-range chemical signalling in vivo is regulated by mechanical signals., Nat Mater 2026     
???displayAntibody.papersRecent???
???displayAntibody.papersAll???