Xenopus Lit image
Larger Image

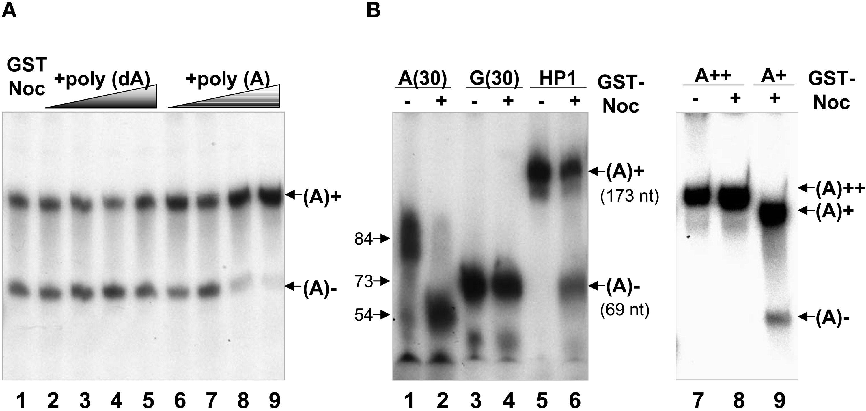
Figure 2. Nocturnin Is an Exonuclease that Prefers Poly(A) as a Substrate (A) The addition of poly(A), but not poly(dA), competed with nocturnin deadenylation of the G52 A+ substrate. Nonradiolabeled competitors were added in increasing amounts (0.001 μg, 0.01 μg, 0.1 μg, and 0.5 μg from left to right) to the deadenylase reaction containing 0.05 μg of a 50% slurry of GST-nocturnin bound to glutathione beads. (B) Left panel: the 30 nucleotide poly(A) tail at the end of the 84 nucleotide L3(A30) RNA substrate is removed upon addition of nocturnin (compare lanes 1 and 2), while a 30 nucleotide tract of poly(G) at the end of the 73 nucleotide ML43(G30) substrate is not removed by nocturnin (lanes 3 and 4). The 173 nucleotide HP1 substrate, containing a poly(C)24 tract followed by a poly(A)100 tail and four non-A residues at the most distal end, is deadenylated by nocturnin to create a 69 nucleotide transcript lacking the poly(A) tail (lanes 5 and 6). Each reaction contains 0.05 μg of a 50% slurry of GST-nocturnin bound to glutathione beads. Sizes of the RNA substrates are based on comparison of predicted size to RNA markers. Right panel: deadenylation occurs only when the poly(A) tail is located at the end of the synthetic transcript. G52 substrate with 31 nucleotides after the poly(A) tail (G52 A(100)N(31), denoted A++ in this figure) and G52 A+ substrate were incubated with or without 0.4 μg of a 50% slurry of GST-nocturnin bound to glutathione beads, as indicated.

Image published in: Baggs JE and Green CB (2003)

Copyright © 2003. Image reproduced with permission of the Publisher, Elsevier B. V.

Permanent Image Page
Printer Friendly View

XB-IMG-138452